Oxidants in Daily Life and Common Health Conditions
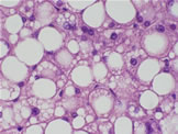
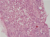
Fatty Liver DiseaseFatty liver disease is a condition of excessive lipid accumulation in liver cells. It has multiple causes or causally related conditions. Among the most common and important are alcohol-induced liver disease and the one associated with obesity and/or diabetes (Fig. 6). In both groups, lipids (triglycerides) accumulate because of the imbalance between the input and output of lipids within a liver cell. The exact mechanism of how this happens is not entirely clear, however.
In the case of obesity/diabetes associated fatty liver disease, insulin resistance (tissues' insensitivity to insulin) is believed to be at the root of the problem. This particular subgroup is on the rise because of the increasing prevalence of obesity and diabetes, and it is now seen even among children. It is the most common cause of abnormal liver function tests in the US and a leading cause of cryptogenic cirrhosis (cirrhosis of unknown cause).
Fatty liver disease constitutes a spectrum ranging from simple fat accumulation through fat accumulation with inflammation and/or fibrosis, to cirrhosis. Some people are more susceptible to disease progression than others. The process of disease progression is not clearly elucidated but there seems to be a consensus among researchers on the involvement of reactive oxygen species (ROS).
Lipids are metabolized predominantly in mitochondria but a small amount is also metabolized in two other sites, peroxisomes and microsomes. There is accumulating evidence that mitochondrial abnormalities, especially dysfunctional respiratory chains, play a key role in the progression of fatty liver disease.
Malfunction of mitochondrial respiratory chains generates more than usual amounts of ROS and less energy (ATPs). As the oxidative capacity of mitochondria becomes impaired and fatty acids accumulate as a result, alternative pathways in peroxisomes and microsomes are activated. However, the lipid metabolism in these sites is of the kind that produces large amounts of ROS, and generates heat that dissipates, instead of ATPs.
The combination of increased ROS and abundant lipids makes fatty liver cells especially susceptible to oxidative stress. Moreover, peroxidation of polyunsaturated fatty acids is associated with toxic byproducts of aldehydes. ROS and aldehydes induce the cells in the liver to secrete TNF-alpha, a potent inflammatory mediator, which in turn further aggravates mitochondrial ROS generation.
This vicious cycle of ever-worsening oxidative damages eventually depletes both antioxidant enzymes and ATPs from liver cells, and becomes incompatible with life.
Death of a liver cell incites inflammatory activities (hepatitis) and formation of connective tissue (fibrosis), the process facilitated by TNF-alpha and aldehydes respectively. These changes are slow in progression and patchy in distribution. However, unless the underlying cause is addressed, the patchy dots of fibrosis become connected to form lines (bridging fibrosis). If uninterrupted, the process can evolves into cirrhosis, with completely remodeled liver architecture.
Copyright 2006 Kuma.us






